Опухоль головного мозга: основные симптомы
Часто длительное время нет никаких проявлений, заболевание развивается бессимптомно. Нередко первые признаки опухоли головного мозга возникают, когда образование достигает значительных размеров, когда оно давит на соседние ткани или начинает усиленно вырабатывать продукты обмена, попадающие в кровь и отравляющие организм. Однозначно сказать, как проявит себя опухоль, сложно, но есть ряд типичных признаков на ранней стадии, на которые нужно обратить внимание. Источник: Лучевая диагностика опухолей головного мозга до и после операции. Щедренок В.В., Усанов Е.И., Захматов И.Г., Могучая О.В., Улитин А.Ю. Вестник хирургии имени И.И. Греков, 2012. С. 73-77.
Постепенно по мере роста опухоли и давления на окружающие ткани возникают следующие проявления:
- Постоянная сонливость, угнетенное сознание, длительный сон в течение нескольких дней;
- Постоянная головная боль, которая практически не купируется лекарствами;
- Головокружение на фоне тошноты и рвоты;
- Повышенная чувствительность к свету и звуку;
- Парез и ограничение подвижности на одной стороне тела, противоположной локализации опухолевого очага;
- Развитие галлюцинаций;
- Нарушения слуха и зрения, непроизвольные движения зрачков, нарушения речи и асимметрия лица;
- Нарушения координации, раздражительность;
- Нарушения гормональной регуляции, чувствительность к боли и температуре тела;
- Нарушение узнавания предметов, проблемы с письмом, речью.

Причины
Но не все люди с опухолями головного мозга имели в своей жизни эти влияния, и они не всегда могут привести к раку.
Классификация опухолей головного мозга
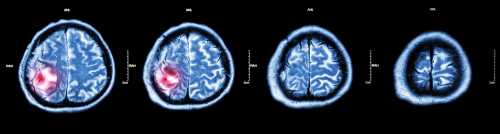
Диагноз
Варианты лечения
Однако злокачественные опухоли чрезвычайно трудно поддаются лечению из-за особенностей роста и развития. Часто во время операции либо невозможно удалить всю ткань, либо опухоль просто неоперабельна, а химиотерапевтические и лучевые методы просто не могут уничтожить все раковые клетки.
Все методы имеют свои побочные эффекты и осложнения, поэтому вопрос тактики лечения решается в каждом случае индивидуально.
Профилактика
Источники:
- Современные методы диагностики опухолей головного мозга. Мелкумян Э.Х. Бюллетень медицинских интернет-конференций, Vol. 2018. Т. 8, № 11. С. 533.
- Медикаментозное лечение больных с опухолями головного мозга. Ч.С. Шашкин. Журнал «Нейрохирургия и неврология Казахстана» №2.3 (27.28), 2012. с.124-130
- Особенности первичной диагностики опухолей головного мозга. Яшин К.С., Медяник И.А., Морев А.В., Ермолаев А.Ю., Тарарова Е.А., Гамаюнов С.В., Карякин Н.Н. Злокачественные опухоли, 2020. стр. 99-100.
- Radiation diagnosis of brain tumors before and after surgery. Shchedrenok V.V., Usanov E.I., Zakhmatov I.G., Moguchaya O.V., Ulitin A.Yu. Bulletin of Surgery named after I.I. Grekov, 2012. pp.73-77